ホワイトニング|歯の黒ずみ、黄ばみが気になる方へ

痛くない・白くなる・歯を守る
イナムラ歯科の
ポリリン酸ホワイトニング

当院で採用しているポリリンホワイトニングは、あらゆる生物の体内にもともと存在している生体成分である『分割ポリリン酸』を使用した、安全なホワイトニング方法です。
歯にダメージを与えない成分/施術方法と、ポリリンコーティングによる幅広い効果効能は、生体に優しいホワイトニングとして注目を集めているものです。
ポリリン酸のメリット
- 1歯面の汚れを落とす
- 2汚れをつきにくくする
- 3透明感のある白さが増す
- 4口腔内を清潔にして整える
大学の再生医療研究から生まれたホワイトニング成分のポリリン酸。
人体にもある体に優しい天然成分だから安心!
無料カウンセリング実施中

「ホワイトニングに興味はあるけれど、ちょっと不安…」という方も多いのではないでしょうか?
私自身も初めてホワイトニングを体験した時、効果や痛み、費用などたくさんの疑問がありました。だからこそ、患者さまの目線に立って、わかりやすく丁寧にご説明することを大切にしています。
ちょっとしたご相談だけでも大歓迎です。白くて健康的な歯で、毎日をもっと楽しく過ごしていただけるよう、全力でサポートいたします!
こんな方におすすめ

歯の黄ばみ、黒ずみをなくして白い歯を手に入れたい

自分の笑顔に
自信が持てない
表情を明るい
イメージにしたい
手頃な価格で
ホワイトニングをしたい
痛みのない
ホワイトニングをしたい
男性でも通いやすい
ホワイトニングを探している
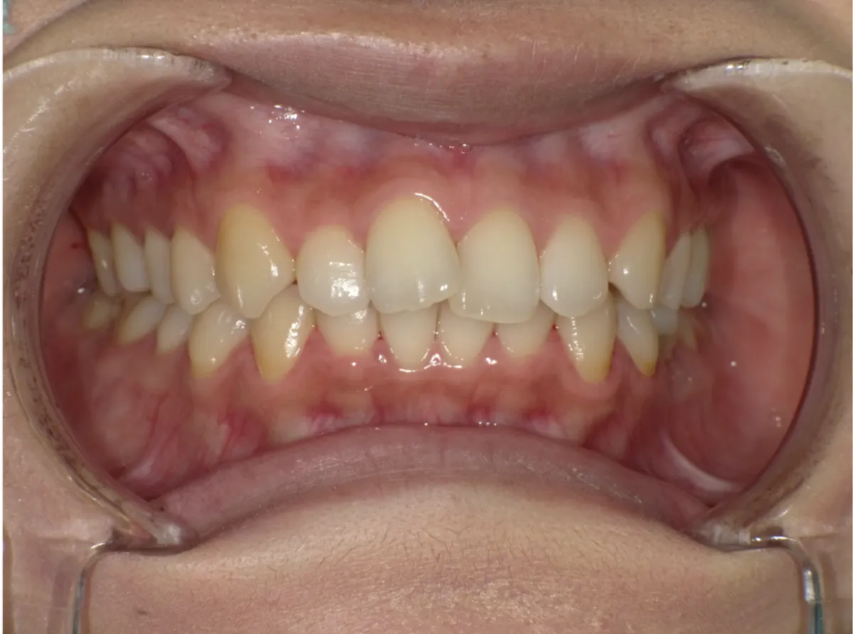
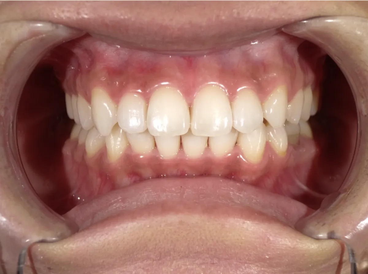
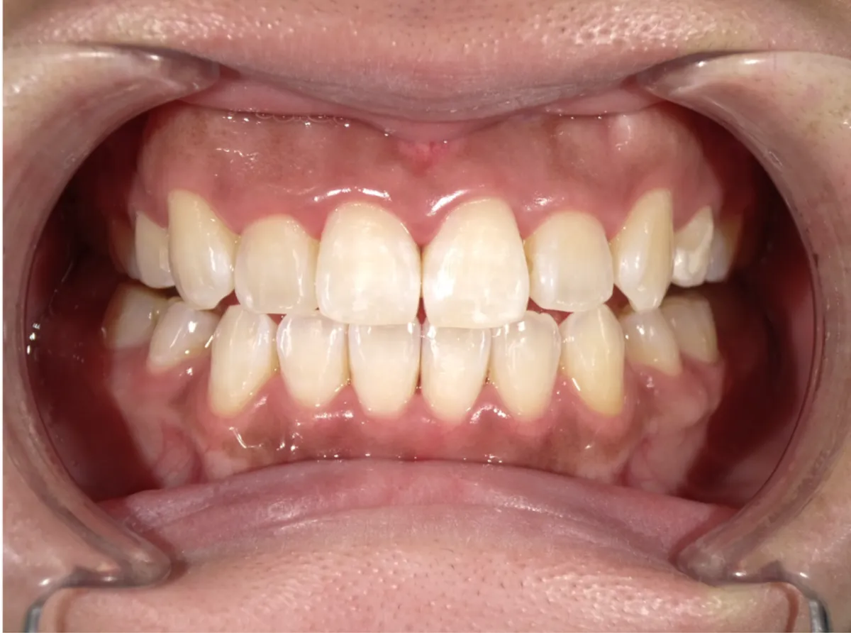
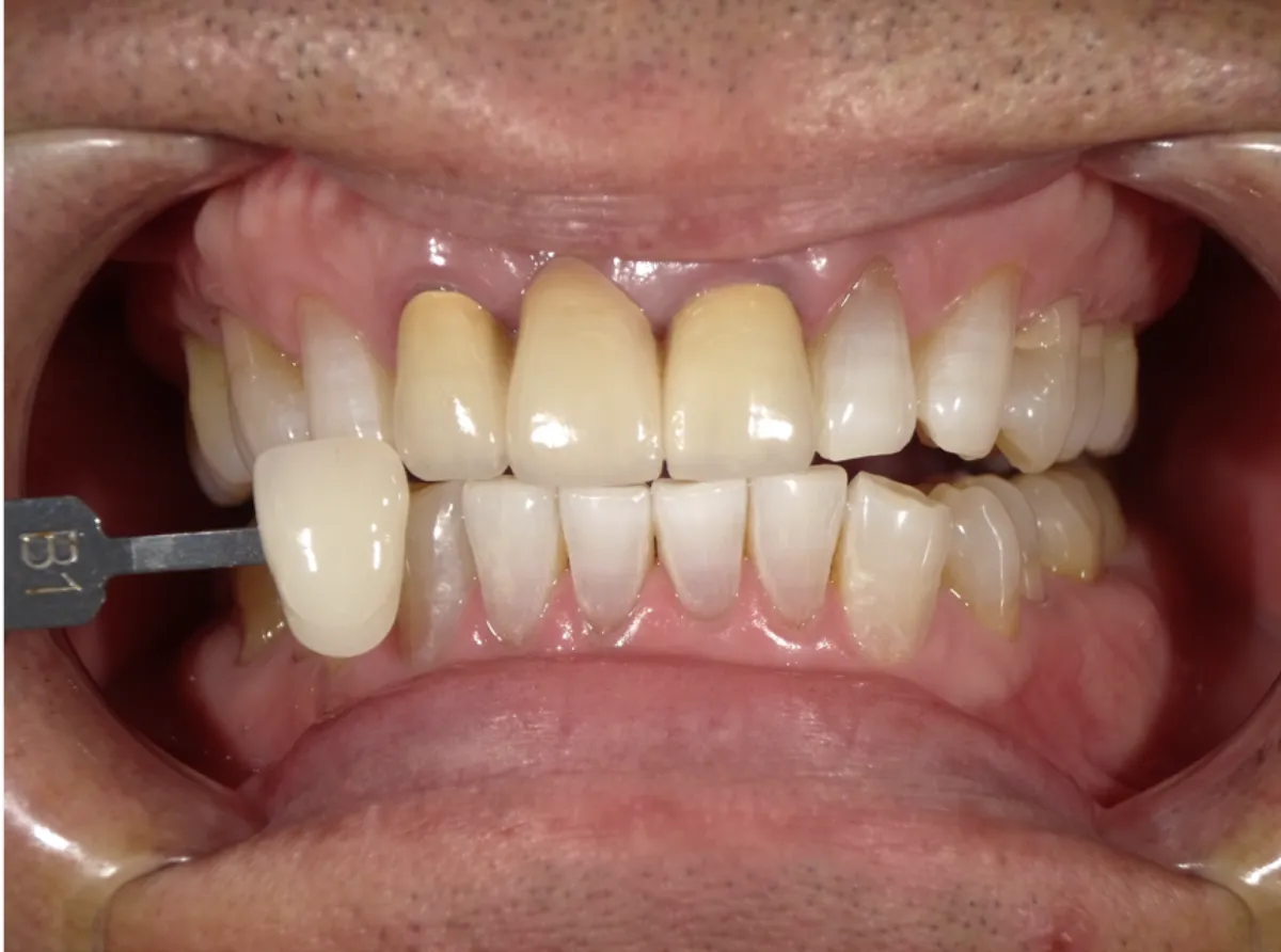
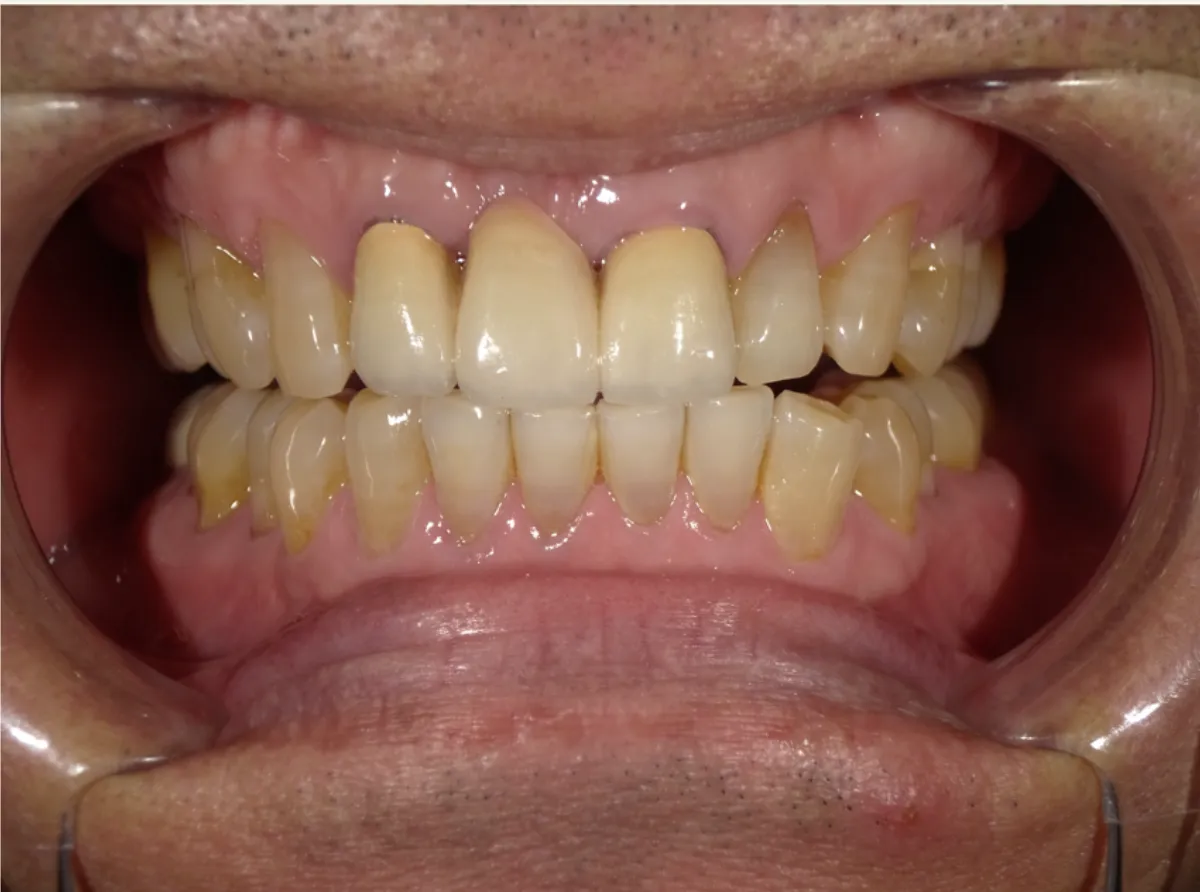
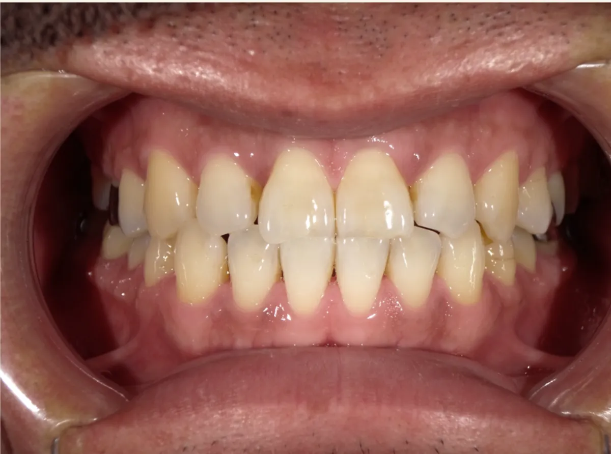
症例

Before

After
- ご相談内容
- 歯を白くしたい
- 治療内容
- ポリリン酸ホワイトニング(ハイブリッド)
- 治療期間・回数
- 約1ヶ月・1回コース
- 費用
- 11,000円(保険対象外)

Before

After
- ご相談内容
- 歯を白くしたい
- 治療内容
- ポリリン酸ホワイトニング(ハイブリッド)
- 治療期間・回数
- 約1ヶ月・1回コース
- 費用
- 11,000円(保険対象外)

Before

After
- ご相談内容
- 歯を白くしたい
- 治療内容
- CAPシステム+ポリリン酸ホワイトニング(ハイブリッド)
- 治療期間・回数
- 3回コース
- 費用
- 35,700円(保険対象外)
従来のホワイトニングとの違い
| 従来のホワイトニング | ハイブリッドポリリンホワイトニング | |
|---|---|---|
| 白さ | 薬液によって着色するので透明感のない白さになります。 | プラチナナノコロイドの効果でキラキラ輝く自然な白さになります。 |
| 痛み | 知覚過敏になることもあります。 痛みを感じやすいです。 | 痛みを感じることは非常に少ないです。 |
| 色戻り | 歯をコーティングしていないので施術直後は特に着色しやすいです。 | ポリリン酸が歯をコーティングし汚れも付きづらくなり透明感のある白さが長持ちします。 |
| 保護力 | ホワイトニング剤を歯の表面に塗り色素を分解します。歯にダメージが残ります。 | ポリリンコーティングにより、歯を傷つけにくく、歯の表面もコーティングされ歯質が強化されます。 |
| お食事 | カレー・コーヒー・ワインなど施術直後は特に食事制限があります。 | 施術直後でもまったく食事制限は必要ありません。 |
| 施術費用(1回) | 高額 | 低価格 |

ポリリン酸ホワイトニングは、生物の体内に存在している成分であり、一部の食品にも含まれている、非常に安全性の高い成分です。
歯にダメージを与えず歯質を強くする施術方法と、ホワイトニングの効果は、歯科業界の注目を集めています!
初回来院の当日に施術を希望される場合は、お電話でご予約をお願いします。
- お支払いは、施術日初日に一括払いとさせて頂いております
- コース払いの方のご返金は、一切承っておりませんのでご了承ください。
- 対象年齢15歳から可能です。(18歳未満の方は保護者同意のもと行います。)
- 妊娠されている方、または妊娠可能性のある方は万一のことを考え、当院では施術不可となっております
- 初回は理想の白さになるまで、短期間での施術を推奨しています
- CAPシステムは、3ヶ月~半年に1度の施術を推奨しています
施術の流れ
1ご予約
2ご来院・受付

来院いただき受付を済ませたら、お悩みや、既往歴、アレルギー有無など問診票に記入していただきます。
3カウンセリング

歯科医師・歯科衛生士によるカウンセリングを行います。気になる黄ばみや汚れなどお悩みをお聞かせください。
この時、歯のお色味と歯質を調べ、黄ばみの原因やご希望の白さに合わせたホワイトニングの期間・回数をご提案いたします。
4クリーニング

ホワイトニングの効果を高めるために、歯の表面についている汚れを落とします。
5薬液塗布
ホワイトニング専用ジェルを歯に塗っていきます。食品にも使われている成分なので安心して使用出来ます。
6光照射

ジェルを塗布した歯に専用のライトを照射します。光を与える事で化学反応が起こり、歯を内部から白くします。
7お会計・アフターケア

その後お会計をしていただきます。各種カードなどのご利用が可能です。※施術料金とは別に検査費等が発生する場合がございます。詳細はお問い合わせ下さい。
ご帰宅後も気になる点があればお電話でお気軽にご相談ください。
よくある質問
-
ホワイトニングをしても痛みはないですか?
歯が軽くしみることがありますが、治療を中断すれば数日で自然に治ります。
また、痛みが出ても歯が悪くなることはありません。 -
歯がもろくなったり、害はないですか?
ポリリン酸のホワイトニングは歯を傷つけるものではなく、逆に歯質を強化することができます。虫歯予防や歯周病予防に一定の効果が期待できます。
-
1回のホワイトニングで白くなりますか?白さはどれぐらい持ちますか?
ホワイトニングの白さは、歯の質によるところが大きいので個人差がありますが、平均で3~4段階は明るくなります。
また、ホワイトニングの方法や回数、個人差によっても変わりますが、ゆっくりと元の色に戻っていきます。完全に戻るまでは半年~3年程度とお考えください。
その為、3~6か月に一度のメンテナンスをおすすめいたします。 -
ホワイトニング中は「色のついた食べ物を食べてはいけない」って本当ですか?
ホワイトニング中の歯は着色しやすい状態になっていますので、色の強い飲食物(ワイン・コーヒー・カレー・トマトソースなど)は可能な範囲で避けた方が良いです。ただし、当店のポリリン酸配合ホワイトニングは、再着色を防ぐ効果が大きいので、あまり気にしなくても大丈夫です。
-
妊娠をしていてもホワイトニングは可能ですか?
申し訳ございません。妊娠中・授乳中のお客様の「ホワイトニング」はお断りさせていただいております。ご了承ください。
ただし、授乳期間が終了した方(妊娠中を除く)は、ホワイトニングが可能です。 -
未成年なのですが、ホワイトニングは可能ですか?
すべての歯が永久歯に生え変わっていれば可能です。ただし、未成年の方は保護者の承諾が必要です。
了承を得た上でご予約・ご来店くださいますようお願いいたします。お電話等で確認させていただく場合がございます。
医院長の想い

歯を気にせず思い切り笑える口元を
当院のテーマである“Well-Being〜より良く生きる”、
より良い人生には笑顔がつきもの。
歯が気になりだすと、
笑顔も少し小さくなってしまうもの。
歯は口元を印象付ける大切な部分。
自分が気にせずに前向きになれるなら、
きっと良い笑顔になって好循環が生まれるはず。
笑顔一つで身の回りから世界は変わる。
イナムラ歯科医院では、
皆さんの“より良く生きる”を歯の健康を含め、
審美歯科からもサポートいたします。
院長 稲村 裕之
青森県立八戸高等学校卒業
明海大学歯学部卒業
柏崎歯科医院 副院長を経て
2013年、イナムラ歯科医院 開院
- 国際歯周内科学研究会
- 日本スポーツ歯科医学会
- オーラルプラセンタ医学研究会
- 日本レーザー歯学会
- 日本歯科審美学会
- 有床義歯学会
- 日本口腔内科学研究会



















